Royal Philips, a recognized champion in health technology, is scheduled to exhibit its comprehensive cardiology strategy at the 2024 European Society of Cardiology Congress in Amsterdam. Philips aims to better cardiac care for a greater number of patients worldwide by integrating imaging, devices, software, and informatics to improve diagnostic and interventional cardiology services. Dr. Atul Gupta, Chief Medical Officer of Diagnosis and Treatment at Philips, stated “By leveraging AI across our advanced technology portfolios in diagnosis and treatment, enterprise informatics, and patient monitoring, our integrated solutions can help solve cardiology’s daily challenges.”
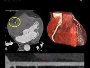
At the forefront of the demonstration is Philips AI-powered echocardiography platform, which introduces first-to-market tools such as automated 3D tricuspid valve quantification and 3D color flow quantification to assist in diagnosing mitral regurgitation. Philips will also debut its AI-enabled cardiovascular ultrasound platform, which accelerates cardiac ultrasound analysis. Additionally, the AI-enabled Spectral CT 7500 will showcase advanced cardiac imaging with reduced diagnostic time, while Philips collaboration with MyoStrain offers early detection of heart failure using MRI technology. Philips innovative solutions aim to provide clinicians with the tools needed for faster, more accurate diagnosis and treatment, improving patient outcomes in the fight against cardiovascular disease.




















