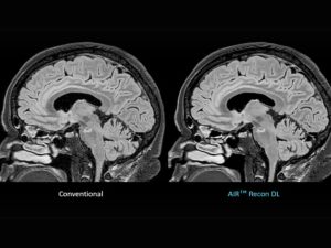
GE HealthCare has introduced three advanced deep learning solutions as part of its Effortless Recon DL portfolio. The objective of these AI-powered technologies, which include Sonic DL for 3D, Clarify DL, and TrueFidelity DL, is to address critical challenges in radiology, including the enhancement of diagnostic confidence, the reduction of scan durations, and the enhancement of image quality. GE HealthCare's dedication to utilizing artificial intelligence to improve patient outcomes is evident in the solutions that are specifically designed to assist in the early diagnosis and treatment of complex conditions such as cancer, cardiovascular disease, and neurological disorders. Sonic DL for 3D, for example, reduces MRI scan times by up to 86% while delivering high-resolution imaging for brain, spine, and body scans, while Clarify DL enhances bone SPECT imaging with superior resolution.
The Effortless Recon DL portfolio offers a range of deep learning-powered tools across multiple imaging modalities, including CT, PET/CT, and MRI. Each solution is designed to streamline workflows, enhance diagnostic precision, and address the burnout challenges faced by radiologists. These advancements reflect GE HealthCare’s broader mission to revolutionize clinical imaging by integrating cutting-edge AI technologies. By optimizing image clarity and reducing procedural complexity, GE HealthCare aims to empower clinicians worldwide to deliver timely, accurate, and cost-effective care to their patients.




















