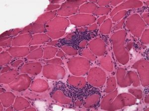
Inclusion Body Myositis, or IBM, is a rare degenerative muscle disease that affects 50,000 people across Europe and the United States annually, sometimes leaving them unable to pinch, button, or grip properly. According to the National Institutes of Health, “there is no cure for IBM, nor is there a standard course of treatment.” But one might be on the way.
In early February, biotech company Abcuro announced $200 million in Series C funding to complete its clinical trial for ulviprubart, a monoclonal antibody that targets cells causing IBM. With no FDA-approved IBM treatment yet on the market, Abcuro is on the verge of a medical breakthrough, with the clinical trial expected to be completed this year.
New Enterprise Associates led the Series C round, some of which is earmarked for the commercial rollout of the drug. Abcuro previously raised $155 million in a Series B funding round in August 2023.




















